Lonkkamurtuma
Reisimurtuma
Polven
alueen murtuma
Säärimurtuma
Nilkkamurtuma
Jalkaterämurtuma
Solisluumurtuma
Olkaluumurtuma
Kyynärpäämurtuma
Kyynärvarsimurtuma
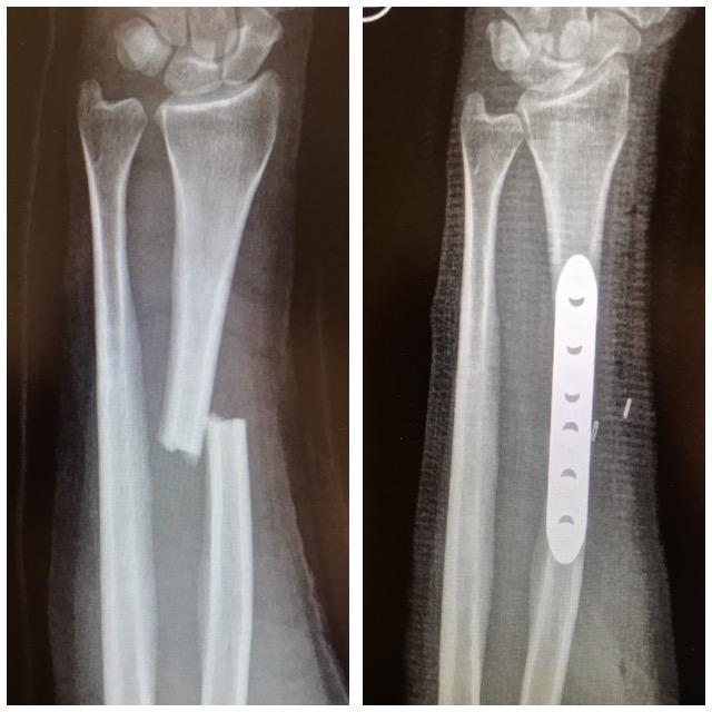
Rannemurtuma
Käden murtuma
Murtumakuvia
Ennen – Jälkeen
Ennen – jälkeen
Ennen – jälkeen
Ennen – jälkeen
Ennen – jälkeen
Murtumakirurgia
Blogipostauksia
Suprapatellaarinen (polvilumpion yläpuoleinen) sääriluun ydinnaulaus
Klikkaa linkkiä mikäli yllä oleva video ei aukeahttps://www.youtube.com/watch?v=hlJEp-XXh2A&t=27s
Pilon murtuma
Potilas sai putoamistapaturman seurauksena hankalahoitoisen pirstaleisen sääriluun alaosan murtuman jota kutsutan Pilon mutumaksi. Pilon murtumassa sääriluun alaosan nivelpinta muistuttaa lähinnä rakkakivikkoa jonka takia se on…